AccessLange: General Ophthalmology / Printed from AccessLange (accesslange.accessmedicine.com).
 
Copyright ©2002-2003 The McGraw-Hill Companies. All rights reserved.
 

Printable VersionPrint this Page
 
Chapter 13: Orbit
Author: John H. Sullivan

Orbit


PHYSIOLOGY OF SYMPTOMS

Owing to the rigid bony structure of the orbit, with only an anterior opening for expansion (Chapter 1), any increase in the orbital contents taking place to the side of or behind the eyeball will displace that organ forward (proptosis). Protrusion of the eyeball is the hallmark of orbital disease. Expansive lesions may be benign or malignant and may arise from bone, muscle, nerve, blood vessels, or connective tissue. A mass may be inflammatory, neoplastic, cystic, or vascular. Protrusion is not in itself injurious unless the lids are unable to cover the cornea. The underlying cause, however, is usually serious and sometimes life-threatening. Pseudoproptosis is apparent prop-tosis in the absence of orbital disease. Such confusion may arise with high myopia, buphthalmos, and lid retraction.

History and examination provide many clues to the cause of proptosis. The position of the eye is determined by the location of the mass. Expansion within the muscle cone displaces the eye straight ahead (axial proptosis), whereas a mass arising outside the muscle cone will also cause sideways or vertical displacement of the globe directly away from the mass (nonaxial proptosis). Bilateral involvement generally indicates systemic disease, such as Graves' disease. The term "exophthalmos" is often used when describing proptosis associated with Graves' disease. Pulsating proptosis reflects the pulse of an orbital vascular malformation or transmission of cerebral pulsations in the absence of the superior orbital roof, as in neurofibromatosis-1. Positional proptosis-which changes with Valsalva's maneuver-is a sign of orbital varices or meningocele. Intermittent proptosis may be the result of a sinus mucocele. The Hertel exophthalmometer (see Chapter 2) is the standard method of quantifying the magnitude of proptosis. Serial measurements are most accurate if performed by the same individual with the same instrument.

With the change in position of the eyeball, especially if it takes place rapidly, there may be enough mechanical interference with the movement of the eye to cause dissociation of ocular movements and diplopia (double vision). Pain may occur as a result of rapid expansion, inflammation, or infiltration of sensory nerves. Vision is not usually affected early unless the lesion arises from the optic nerve. Pupillary signs and color vision testing may identify subtle optic nerve compression or involvement before acuity is reduced significantly. Involvement of the superior orbital fissure by trauma or tumor produces a characteristic combination of diplopia resulting from disturbance of function of the oculomotor, trochlear, and abducens nerves and corneal and facial anesthesia (ophthalmic division of trigeminal nerve), known as the orbital fissure syndrome. Expanding lesions at the orbital apex result in the orbital apex syndrome, characterized by proptosis and optic nerve compression, variably accompanied by the diplopia and corneal and facial anesthesia seen in the orbital fissure syndrome.

DIAGNOSTIC STUDIES

1. IMAGING

CT & MRI

Imaging by computed tomography (CT scan) (Figures 13-1 and 13-2) was a major advance in orbital diagnosis. Continued improvement in resolution quality-as well as three-dimensional reconstructions-have made CT the single most important diagnostic study in the investigation of orbital disease. Contrast enhancement with CT during study of vascular lesions sometimes provides additional information. Magnetic resonance imaging (MRI) is capable of displaying subtle changes within soft tissue that cannot be imaged with CT, but it is less useful for bony changes. A surface coil applied directly to the orbit enhances image resolution. MRI is contraindicated in the presence of a ferrous intraorbital or intracranial foreign body.


Figure 13-1

Figure 13-1: Normal CT scan showing the anatomy of the orbit. Axial CT sections, thickness 1.5 mm. A: Lowest section. H: Highest section. Note clear delineation of individual muscles, optic nerve, and major veins within the orbital fat.


Figure 13-2

Figure 13-2: Coronal computer reconstructions from axial CT sections. A: Most anterior section. H: Most posterior section. Note detailed demonstration of ocular and orbital structures.

Ultrasonography

The use of ultrasonography in the diagnosis of orbital disease has largely been supplanted by CT and MRI. Although it is a noninvasive and inexpensive form of imaging, its usefulness in both A and B mode is limited to the anterior portion of the orbit. It is of greatest value in the hands of the clinician- ultrasonographer capable of interpreting "real time" images.

Venography

Venography is occasionally useful in defining the extent of orbital venous disease. Although the diagnosis can be made by MRI, contrast injection into the orbital veins via a scalp vein can sometimes reveal the presence of varices that have escaped detection by CT.

Angiography

Selective carotid angiography with bone subtraction is sometimes necessary to make the diagnosis of certain orbital vascular disorders. In spontaneous, low-flow dural carotid artery-cavernous sinus fistula, angiography is required for delineation of the extent of involvement and for treatment by embolization.

Radiography

Plain x-rays are sufficient for diagnosis of many orbital disorders such as fractures. However, the thin walls of the orbit are difficult to visualize even with tomography, and CT or MRI imaging is used to determine the extent of injury. Dacryocystography and radionuclide scanning can sometimes be helpful in localizing the site of lacrimal obstructions, but these procedures are seldom used. The results are difficult to interpret, and treatment is seldom altered by the findings. Positive contrast radiography and pneumo-orbitography are no longer used. Orbital thermography is a research procedure.

Fine-Needle Aspiration

Fine-needle aspiration is an invasive procedure that has proved very useful in orbital diagnosis. Cytology specimens can be aspirated from a lesion the exact location of which is determined by CT imaging. Cytopathology can be inconclusive but is often invaluable.

DISEASES & DISORDERS OF THE ORBIT

INFLAMMATORY DISORDERS

1. GRAVES' OPHTHALMOPATHY

The most common cause of unilateral or bilateral proptosis in adults or children is Graves' disease.

The terminology used to describe ocular involvement in thyroid disease is often confusing. Graves' ophthalmopathy, dysthyroid ophthalmopathy, and dysthyroid eye disease are interchangeable terms. Some degree of ophthalmopathy-usually mild-occurs in a high percentage of hyperthyroid patients. Severe infiltrative orbital myopathy with significant proptosis and restricted motility occurs in about 5% of cases of Graves' disease (Figure 13-3). This severe form, however, can also occur with hypothyroidism or with no detectable thyroid abnormality, in which case the term ophthalmic Graves' disease may be used.


Figure 13-3

Figure 13-3: Graves' ophthalmopathy.

Thyroid ophthalmopathy is thought to be an autoimmune disease. It is often seen in autoimmune (Hashimoto's) thyroiditis. Antithyroglobulin, antimicrosomal, and other antibodies can usually be demonstrated, but their role in pathogenesis is in question.

Clinical Findings

Proptosis associated with thyroid disease is characterized by lid retraction, which serves to distinguish it from other causes of proptosis. Lagophthalmos results from proptosis and lid retraction, and corneal exposure is a factor even in mild cases. Ocular myopathy usually begins with lymphocytic infiltration and edema of the rectus muscles. In time, the inflamed muscles may become fibrotic and permanently restricted. The eye may be tethered so as to raise the intraocular pressure when it is measured in upgaze.

Diplopia usually begins in the upper field of gaze because of infiltrative myopathy involving the inferior rectus muscle. All extraocular muscles may eventually be involved, and there may be no position of gaze free of diplopia. The extraocular muscles may become massively enlarged and-in addition to restricting eye movement-may compress the optic nerve. Compressive optic neuropathy is most common with enlargement of the posterior aspect of the muscles that occurs without severe proptosis. Early signs include an afferent pupillary defect, impairment of color vision, and slight loss of visual acuity. Blindness is liable to occur if compression is unrelieved.

Treatment

The goal of treatment of Graves' ophthalmopathy is initially to maintain corneal protection. As the disease progresses it becomes necessary to address the problems of diplopia, proptosis, and compressive optic neuropathy. Management of severe cases is difficult and multidisciplinary. An endocrinologist should manage the thyroid status, optimal control being crucial to ameliorating the orbital disease. Oral cortico-steroids (prednisone, 60-100 mg/d) may be helpful in controlling the acute phase of infiltrative myopathy. Complications and side effects limit the use of corticosteroids in long-term maintenance. Orbital radiation is effective during the active phase of the disease. Soft tissue signs of swelling and chemosis are usually relieved. Diplopia and proptosis may be improved.

Early compression neuropathy may also be relieved by radiation therapy, but neuropathy unresponsive to medical management is an indication for surgical decompression of the orbit. Several approaches have been devised to expand the orbital volume by fracture of the bony walls, usually the orbital floor into the maxillary sinus and the medial wall into the ethmoid sinus, along with removal of the lateral orbital wall in some cases. Proptosis can be reduced by surgery, but there is a risk of intractable diplopia and a lesser risk of orbital infection. For these reasons, decompression for cosmetic reasons is not routinely performed.

Eyelid retraction is often more disturbing than proptosis-both functionally, because of exposure keratitis, and cosmetically. Decompression may relieve lid retraction, but correction of the retraction camouflages proptosis to some extent. Lid retraction is corrected by surgery. The upper and lower lid retractors (aponeurosis and sympathetic muscles) can be lengthened by inserting a spacer such as eye bank sclera. Small amounts (2 mm) of lid retraction can be corrected by simply disinserting the retractors from the upper tarsal border.

Strabismus surgery should not be undertaken until the myopathy has stabilized. The adjustable suture technique is useful. Most patients can achieve at least a small area of binocular single vision in a useful position of gaze. Torsional diplopia, the result of oblique muscle involvement, complicates management.

Some patients have intractable diplopia despite all attempts at correction.

2. PSEUDOTUMOR

A frequent cause of proptosis in adults and children is inflammatory pseudotumor. The term "pseudotumor" was coined to indicate a nonneoplastic process that produces the sentinel sign of an orbital neoplasm, ie, proptosis. In some cases there is an associated systemic vasculitis, such as Wegener's granulomatosis. The site of inflammation is usually diffuse and not amenable to excision. The process can involve any orbital structure (eg, myositis, dacryoadenitis, lymphogranuloma) or cell type (eg, lymphocytes, fibro-blasts, histiocytes, plasma cells). Onset is usually rapid, and pain is often present.

Pseudotumor is usually unilateral; when both orbits are involved, it is more often a manifestation of vasculitis. The differential diagnosis includes Graves' ophthalmopathy and orbital lymphoma.

Treatment with systemic nonsteroidal anti-inflammatory drug (NSAID)s, systemic corticosteroids, or radiation is usually effective. Surgery often exacerbates the inflammatory reaction.

ORBITAL INFECTIONS

1. ORBITAL CELLULITIS (Figure 13-4)

Orbital cellulitis is the most common cause of proptosis in children. Immediate treatment is essential. Fortunately, the diagnosis usually is not difficult, because the clinical findings are characteristic. Although most cases occur in children, aged and immunocompromised individuals may also be affected.


Figure 13-4

Figure 13-4: Orbital cellulitis. Abscess draining through upper eyelid.

Trauma may be responsible for introduction of contaminated material into the orbit through the skin or paranasal sinuses. In the preantibiotic era, orbital cellulitis frequently led to blindness or death resulting from septic cavernous sinus thrombosis.

The orbit is surrounded by the paranasal sinuses, and part of their venous drainage is through the orbit. Most cases of orbital cellulitis arise from extension of sinusitis through the thin ethmoid bones. The organisms usually responsible are those most frequently found in sinuses: Haemophilus influenzae, Streptococcus pneumoniae, other streptococci, and staphylococci.

Clinical Findings

Preseptal cellulitis is the most common presentation. CT scan or MRI is helpful in distinguishing between pre- and postseptal involvement as well as identifying and localizing an orbital abscess or foreign body. Plain x-rays alone can only identify the presence of sinusitis.

It is important to distinguish between preseptal and orbital infections. Both present with edema, erythema, hyperemia, pain, and leukocytosis. Chemosis, proptosis, limitation of eye movement, and reduction of vision indicate deep orbital involvement. Extension to the cavernous sinus may cause bilateral involvement of cranial nerves II-VI, with severe edema and septic fever. Erosion of the orbital bones may cause brain abscess and meningitis.

In children, few orbital diseases develop as rapidly as cellulitis. Confusion may exist with rhabdomyosarcoma, pseudotumor, and Graves' ophthalmopathy.

Treatment

Treatment should be initiated before the causative organism is identified. As soon as nasal, conjunctival, and blood cultures are obtained, intravenous antibiotics should be administered. Initial antibiotic therapy should cover staphylococci, H influenzae, and anaerobes. Posttraumatic cellulitis-especially following animal bites-must be covered for gram-negative and gram-positive bacilli. Hot compresses help localize the inflammatory reaction. Nasal decongestants and vasoconstrictors help drain the paranasal sinuses. Early surgical drainage is indicated in suppurative preseptal cellulitis. MRI is useful in deciding when and where to drain an orbital abscess. Most cases respond promptly to antibiotics. Those that do not may require drainage of the paranasal sinuses. Early consultation with an otolaryngologist may be helpful.

2. MUCORMYCOSIS

Diabetics and immunocompromised patients have a propensity to develop severe and often fatal fungal infections of the orbit. The organisms are of the Zygomycetes group, which have a tendency to invade vessels and create ischemic necrosis. Infection usually begins in the sinuses and erodes into the orbital cavity. A necrotizing reaction destroys muscle, bone, and soft tissue, frequently without causing signs of orbital cellulitis.

The patient is usually quite ill and presents with pain and proptosis. Examination of the nose and palate often reveals a necrotic area of mucosa, a smear of which shows broad branching hyphae.

Without treatment, the infection gradually erodes into the cranial cavity, resulting in meningitis, brain abscess, and death usually within days to weeks. Treatment is difficult and often inadequate. It consists of correction of the underlying disease combined with surgical debridement and administration of amphotericin B intravenously. Recurrences are common.

CYSTIC LESIONS INVOLVING THE ORBIT

1. DERMOID

Dermoids are not true neoplasms but benign choristomas arising from embryonic tissue not usually found in the orbit. Orbital dermoids arise from surface ectoderm and often contain epithelial structures such as keratin, hair, and even teeth. Most are cystic and filled with an oily fluid that can incite a severe inflammatory reaction if liberated into the orbit. Most dermoids occur in the superior temporal quadrant of the orbit, but they can occur at any bony suture line.

X-rays show a sharp, round bony defect from the pressure of a slowly growing mass affixed to the periosteum.

Epidermoid cyst is a superficial keratin-filled mass, usually near the superior orbital rim. It may be congenital or posttraumatic. Excision is usually not difficult.

A dermolipoma is a solid mass of fatty material that occurs below the conjunctival surface. Hair growth on the overlying conjunctiva is not uncommon. Dermolipomas are often much larger than they appear to be, and excision may cause considerable damage to vital structures. If treatment is necessary, limited excision is usually advised.

2. SINUS MUCOCELE

The proximity of the orbit to the paranasal sinuses may lead to invasion of the bony walls and extension of an obstructed sinus into the orbit. Plain x-ray will usually make the diagnosis, but CT or MRI may be required to differentiate sinus mucocele from dermoid cyst and to define the extent of the lesion (Figure 13-5). Otolaryngologic and neurosurgical assistance may be necessary for surgical removal.


Figure 13-5

Figure 13-5: CT scan of ethmoid sinus mucocele.

3. MENINGOCELE

Erosion of the meninges into the orbital cavity through a congenital dehiscence in the bony sutures creates a cystic mass filled with cerebrospinal fluid known as a meningocele. Both brain and meninges are frequently included in a meningoencephalocele. The resultant fluctuant mass in the superior medial orbit typically enlarges with Valsalva's maneuver. Most cases are present at birth, but those arising from the sphenoid bone may not become apparent until adolescence.

VASCULAR ABNORMALITIES INVOLVING THE ORBIT

1. ARTERIOVENOUS MALFORMATION

Arteriovenous malformations are an uncommon cause of proptosis. Varices produce intermittent prop-tosis, sometimes associated with pain and transient reduction of vision. Some degree of proptosis can be induced with Valsalva's maneuver or by placing the head in a dependent position. MRI scan is usually diagnostic, and venography is seldom indicated.

Surgery is the only method of treatment available and is fraught with hazard. Morbidity following eradication of the varix may jeopardize visual function. Most varices are best left untreated unless vision is at risk.

2. CAROTID ARTERY-CAVERNOUS SINUS FISTULA

Carotid artery-cavernous sinus fistulas with high-flow shunts are easily diagnosed. Although sometimes occurring spontaneously, they usually follow trauma. Physical signs include severe congestion and chemosis, with pulsating proptosis and a loud bruit.

Low-flow shunts (dural carotid cavernous sinus fistula) are usually spontaneous and often misdiagnosed. Mild congestion, venous engorgement and arterialization, elevated intraocular pressure, mild proptosis, and a faint bruit are the usual features. Diagnosis is by contrast MRI or subtraction angiography, and treatment is by selective intra-arterial or transvenous embolization.

PRIMARY ORBITAL TUMORS

CAPILLARY HEMANGIOMA

Capillary hemangiomas are common benign tumors that sometimes involve the eyelids and orbit (Figure 13-6). Superficial lesions are reddish (strawberry nevus), and deeper lesions are more bluish. Over 90% become apparent before the age of 6 months. They tend to enlarge rapidly in the first year of life and regress slowly over 6-7 years. Lesions within the orbit may cause strabismus or proptosis. Involvement of the eyelids may induce astigmatism or occlude vision, resulting in amblyopia.


Figure 13-6

Figure 13-6: Capillary hemangioma.

Small superficial lesions require no treatment and are best allowed to spontaneously regress. Deep orbital lesions are often associated with significant morbidity with or without treatment. The most common dilemma, however, is the rapidly growing lid lesion in a preverbal infant. Parents are often unwilling to wait for spontaneous regression and plead for treatment even if amblyopia is not a threat. The use of intralesional sustained-release corticosteroids has been found to be effective in many instances and has evolved as the preferred method of treatment in most cases. Corticosteroids are thought to have an antiangiogenic effect that inhibits capillary proliferation and induces vascular constriction.

Other forms of treatment are less effective but sometimes necessary. These include prolonged compression, systemic corticosteroids, sclerosing agents, cryotherapy, laser surgery, radiation, and surgical resection.

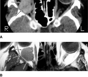
CAVERNOUS HEMANGIOMA (Figure 13-7)

Cavernous hemangiomas are benign, grow slowly, and usually become symptomatic in middle life. Most occur in women. They most often lie within the muscle cone, producing axial proptosis, hyperopia, and, in many cases, choroidal folds. Unlike capillary hemangiomas, they do not tend to regress spontaneously. Surgical excision is usually successful and is indicated if the patient is symptomatic.


Figure 13-7

Figure 13-7: Cavernous hemangioma (arrows) of the right orbit as demonstrated by both CT scan (A) and MRI (B). The left side demonstrates the appearance of a normal orbit and globe. (Courtesy of D Char.)

LYMPHANGIOMA

In its early stages, lymphangioma may be very similar to hemangioma-even histologically such that some authors have suggested a primarily venous origin. Both usually begin in infancy, though lymphangioma may present later in life. Lymphangioma does not regress and is characterized by intermittent hemorrhage and gradual worsening. Large blood cysts may cause proptosis and diplopia and require evacuation.

The tumor is often multifocal and frequently occurs in the soft palate and other areas of the face as well as the orbit. On histologic examination, it consists of large serum-filled channels and lymphoid follicles. Treatment can be for the purpose of either acute decompression of a hemorrhagic blood cyst or eradication of the tumor. Needle aspiration of blood or extirpation of a specific cyst may be temporarily effective. Excision of tumor by any method is seldom satisfactory. The risk of amblyopia is similar to that associated with capillary hemangioma.

RHABDOMYOSARCOMA (Figure 13-8)

Rhabdomyosarcoma is the most common primary malignant tumor of the orbit in childhood. Presentation is before age 10, and rapid growth is characteristic. The tumor may destroy adjacent orbital bone and spread into the brain. The combination of external megavoltage radiation and chemotherapy has improved the survival rate of these patients from less than 50%, when orbital exenteration was used, to over 90% today.


Figure 13-8

Figure 13-8: Rhabdomyosarcoma.

NEUROFIBROMA

Neurofibromatosis 1 (Recklinghausen's disease) is inherited as an autosomal dominant trait. The responsible gene is on chromosome 17. Plexiform neurofibromas are characteristic and can distort the eyelids (Figure 13-9) and orbit. The presence of café au lait spots helps confirm the diagnosis. The sphenoid bone is often defective; the associated orbital defect may lead to pulsating exophthalmos or enophthalmos. Optic nerve gliomas produce signs (proptosis) and symptoms (visual loss) in 5% of affected individuals; imaging has shown that many more patients harbor asymptomatic optic nerve gliomas. Some of these patients also develop meningiomas and, rarely, malignant peripheral nerve sheath tumors.


Figure 13-9

Figure 13-9: Plexiform neurofibroma of upper eyelid in neurofibromatosis 1.

OPTIC NERVE GLIOMA

Approximately 75% of symptomatic optic nerve gliomas become apparent before age 10. Twenty-five to 50 percent are associated with neurofibromatosis 1. They are low-grade astrocytomas. Those anterior to the chiasm behave in a benign fashion; those in and posterior to the chiasm may be more aggressive. Visual loss and optic atrophy are the most common signs. Proptosis occurs if the tumor is in the orbit.

Treatment is controversial. There are no compelling statistics to indicate that any form of treatment is applicable to all cases. Some believe that these tumors do not require treatment, others that they require surgical excision, radiotherapy, or chemotherapy. If progressive tumor growth and visual loss can be clearly documented, radiotherapy is often effective in stabilizing or even improving vision. There is a risk of secondary damage to the central nervous system such that chemotherapy is advocated as a better option, but there is little long-term follow-up data. In blind eyes with marked proptosis, the patient's cosmetic appearance can often be improved by excising the tumor through a lateral orbitotomy.

LACRIMAL GLAND TUMORS

Fifty percent of masses presenting in the lacrimal gland are epithelial tumors; one-half of these are malignant. Inflammatory masses and lymphoproliferative tumors comprise the other 50%. The most common epithelial tumor is the pleomorphic adenoma (benign mixed tumor). These tumors should be excised-not biopsied-because of their propensity for recurrence and malignant transformation.

A malignant tumor of the lacrimal gland is suspected when the patient presents with pain and destructive bony changes are evident on x-ray. Biopsy should be performed through the eyelid to avoid tumor seeding in the orbit. Orbital exenteration with ostectomy is required if there is to be any chance of survival. Even with radical treatment, the prognosis is poor.

LYMPHOMA

Lymphomatous tumors of the orbit are divided into malignant lymphomas and reactive lymphoid hyperplasia, or pseudolymphoma. Immunologic and DNA hybridization techniques can help the pathologist determine whether a given lesion is a monoclonal proliferation (and presumably malignant) or a benign polyclonal proliferation. However, malignant lymphomas can have associated benign reactive lesions; benign polyclonal lesions can have small clones of B lymphocytes; and monoclonal tumors often remain localized and behave in a benign fashion.

The differential diagnosis includes orbital infection and pseudotumor, with or without systemic vasculitis. Pain is more common with benign inflammatory processes than with malignant lymphomas.

The prognosis for both polyclonal lymphoid proliferations and well-differentiated B cell monoclonal lesions is excellent. If disease is confined to the orbit, treatment for both monoclonal and polyclonal lesions is with radiation. In one study, only 13% of these patients who were free of systemic disease after 6 months developed nonocular lymphomatous lesions.

HISTIOCYTOSIS

Proliferation of Langerhans cells with characteristic cytoplasmic granules comprises a spectrum of disease that includes what were formerly classified as unifocal and multifocal eosinophilic granuloma, Hand-Schüller-Christian disease (multifocal lytic skull lesion, proptosis, and diabetes insipidus), and Letterer-Siwe disease (cutaneous, visceral, and lymph node involvement). The younger the child at the time of diagnosis, the greater the chance of multifocal disease.

The orbital lesions can be treated with surgical curettement, corticosteroid injections, or low-dose radiation.

METASTATIC TUMORS

Metastatic tumors reach the orbit by hematogenous spread, since the orbit is devoid of lymphatics. Metastasis is usually from the breast in women and from the lung in men. In children, the most common metastatic tumor is neuroblastoma, which is often associated with spontaneous periocular hemorrhage as the rapidly growing tumor becomes necrotic. Metastatic tumors are much more common in the choroid than in the orbit, probably because of the nature of the blood supply.

Many metastatic orbital tumors respond to radiation, some to chemotherapy. Small localized tumors that are symptomatic can sometimes be completely or partially excised. Neuroblastomas in children under 11 months have a relatively good prognosis. Adults with metastatic tumors in the orbit have a very limited life expectancy.

SECONDARY TUMORS

Basal cell, squamous cell, and sebaceous gland carcinomas may spread locally into the anterior orbit. Nasopharyngeal carcinomas-most commonly from the maxillary sinus-and meningiomas invade the posterior orbit.

REFERENCES
 
Bartley GB et al: Long-term follow-up of Graves ophthalmopathy in an incidence cohort. Ophthalmology 1996;103:958.  [ PMID 8643255 ]
 
Bartley GB, Gorman CA: Diagnostic criteria for Graves' ophthalmopathy. Am J Ophthalmol 1995;119:792.  [ PMID 7785696 ]
 
Bonavolonta G et al: Dermoid cysts: 16-year survey. Ophthalmic Plast Reconstr Surg 1995;11:187.
 
Bron AJ et al (editors): Wolff's Anatomy of the Eye and Orbit, 8th ed. Chapman & Hall, 1997.
 
Char DH: Clinical Ocular Oncology, 2nd ed. Lippincott-Raven, 1997.
 
Char DH: Thyroid Eye Disease, 3rd ed. Butterworth-Heinemann, 1997.
 
De La Paz MA, Boniuk M: Fundus manifestations of orbital disease and treatment of orbital disease. Surv Ophthalmol 1995:40:3.  [ PMID 8545800 ]
 
Dutton J, Slamovits T (editors): Viewpoints: Management of blowout fractures of the orbital floor. Surv Ophthalmol 1991;35:1.  [ PMID 2011821 ]
 
Dutton JJ: Gliomas of the anterior visual pathway. Surv Ophthalmol 1994;38:427.  [ PMID 8009427 ]
 
Farris SR, Grove AS: Orbital and eyelid manifestations of neurofibromatosis: A clinical study and literature review. Ophthalmic Plast Reconstr Surg 1996;12:245.
 
Fells P et al: ExtraocuIar muscle problems in thyroid eye disease. Eye 1994;8:497.  [ PMID 7835441 ]
 
Goldberg RA et al: Management of cavernous sinus-dural fistulas. Indications and techniques for primary embolization via the superior ophthalmic vein. Arch Ophthalmol 1996;114:707.  [ PMID 8639083 ]
 
Henderson JW et al: Orbital Tumors, 3rd ed. Raven, 1994.
 
Hutchinson BM, Kyle PM: Long-term visual outcome following orbital decompression for dysthyroid eye disease. Eye 1995;9:578.  [ PMID 8543076 ]
 
Jackson IT, Carreno R et al: Hemangiomas, vascular malformations, and lymphovenous malformations: Classification and methods of treatment. Plast Reconstr Surg 1993;91:1216.  [ PMID 8497521 ]
 
Kronish JW et al: Orbital infections in patients with human immunodeficiency virus infection. Ophthalmology 1996;103:1483.  [ PMID 8841310 ]
 
Lawson CT et al: Definition of the blepharophimosis ptosis epicanthus inversus syndrome critical region at chromosome 3q23 based on the analysis of chromosomal anomalies. Hum Mol Genet 1995;4:963.  [ PMID 7633459 ]
 
Mannor GE et al: Multidisciplinary management of refractory orbital rhabdomyosarcoma. Ophthalmology 1997; 104:1198.  [ PMID 9224476 ]
 
Mannor GE et al: Outcome of orbital myositis: Clinical features associated with recurrence. Ophthalmology 1997;104:409.  [ PMID 9082264 ]
 
Mombaerts I et al: Are systemic corticosteroids useful in the management of orbital pseudotumors? Ophthalmology 1996;103:521.  [ PMID 8600431 ]
 
Mombaerts I et al: What is orbital pseudotumor? Surv Ophthalmol 1996;41:66.  [ PMID 8827931 ]
 
Mombaerts I, Koornneef L: Current status in the treatment of orbital myositis. Ophthalmology 1997;104:402.  [ PMID 9082263 ]
 
Perry SR, Rootman J, White VA: The clinical and pathologic constellation of Wegener granulomatosis of the orbit. Ophthalmology 1997;104:683.  [ PMID 9111264 ]
 
Reifler DM et al: Orbital lymphoma associated with acquired immune deficiency syndrome (AIDS). Surv Ophthalmol 1994;38:371.  [ PMID 8160110 ]
 
Rousseau P: Primary chemotherapy in rhabdomyosarcomas and other malignant mesenchymal tumors of the orbit: Results of the International Society of Pediatric Oncology MMT 84 Study. J Clin Oncol 1994;12:516.  [ PMID 7509854 ]
 
Shuper A et al: Visual pathway glioma: An erratic tumor with therapeutic dilemmas. Arch Dis Child 1997;76:259.  [ PMID 9135269 ]
 
Spencer WH (editor): Ophthalmic Pathology, 4th ed. 4 vols. Saunders, 1996.
 
Trobe JD, Gebarski SS: Looking behind the eyes: The proper use of modern imaging. Arch Ophthalmol 1993;111:1185.  [ PMID 8363462 ]
 
Walker RS, Custer PL, Nerad JA: Surgical excision of periorbital capillary hemangiomas. Ophthalmology 1994; 101:1333.  [ PMID 8058277 ]
 
Weber AL, Dallow RL, Sabates NR: Graves' disease of the orbit. Neuroimaging Clin North Am 1996;6:61.
 
White WL, Ferry JA: Ocular adnexal lymphoma: A clinicopathologic study with identification of lymphomas of mucosa-associated lymphoid tissue type. Ophthalmology 1995;102:1994.  [ PMID 9098307 ]
 
Wilson WB, Prochoda M: Radiotherapy for thyroid orbitopathy. Arch Ophthalmol 1995;113:1420.  [ PMID 7487604 ]
 
Yohai RA et al: Survival factors in rhino-orbital-cerebral mucormycosis. Surv Ophthalmol 1994;39:3.  [ PMID 7974189 ]
 

List of Figures

new window Figure 13-1: Normal CT scan showing the anatomy of the orbit. Axial CT sections, thickness 1.5 mm. A: Lowest section. H: Highest section. Note clear delineation of individual muscles, optic nerve, and major veins within the orbital fat.
new window Figure 13-2: Coronal computer reconstructions from axial CT sections. A: Most anterior section. H: Most posterior section. Note detailed demonstration of ocular and orbital structures.
new window Figure 13-3: Graves' ophthalmopathy.
new window Figure 13-4: Orbital cellulitis. Abscess draining through upper eyelid.
new window Figure 13-5: CT scan of ethmoid sinus mucocele.
new window Figure 13-6: Capillary hemangioma.
new window Figure 13-7: Cavernous hemangioma (arrows) of the right orbit as demonstrated by both CT scan (A) and MRI (B). The left side demonstrates the appearance of a normal orbit and globe. (Courtesy of D Char.)
new window Figure 13-8: Rhabdomyosarcoma.
new window Figure 13-9: Plexiform neurofibroma of upper eyelid in neurofibromatosis 1.

 
 
 
 

10.1036/1535-8860.ch13

Copyright ©2002-2003 The McGraw-Hill Companies. All rights reserved.
Any use is subject to the Terms of Use and Notice. Additional credits and copyright information. For further information about this site contact tech_support@accessmedicine.com.
Last modified: October 17, 2002 .
McGraw-HillEducation
The McGraw-Hill Companies
AccessLange: General Ophthalmology / Printed from AccessLange (accesslange.accessmedicine.com).
 
Copyright ©2002-2003 The McGraw-Hill Companies. All rights reserved.